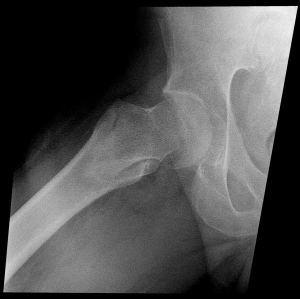
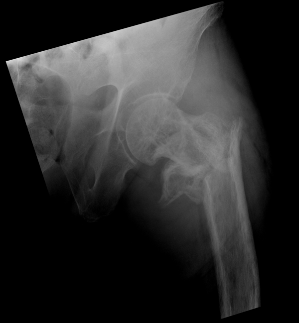
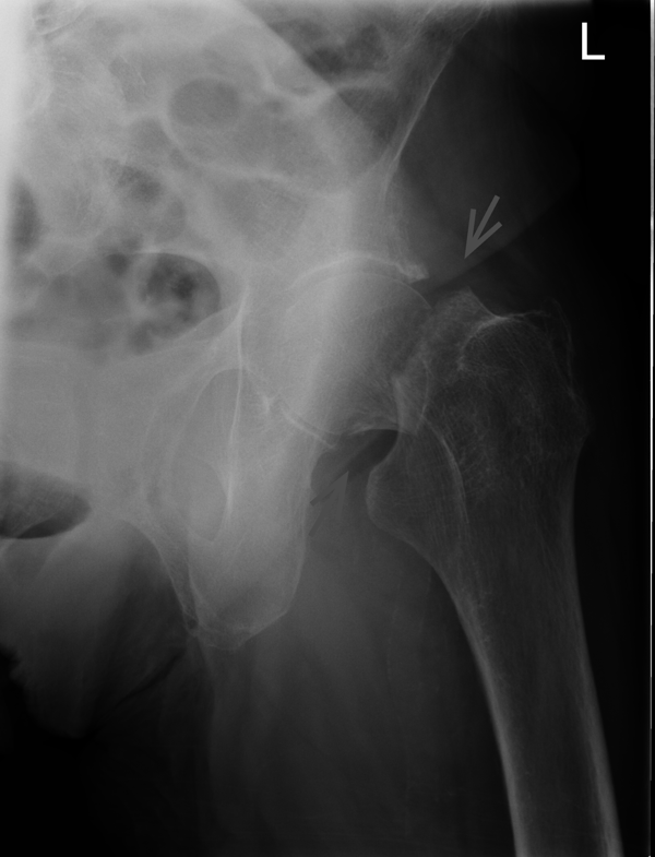
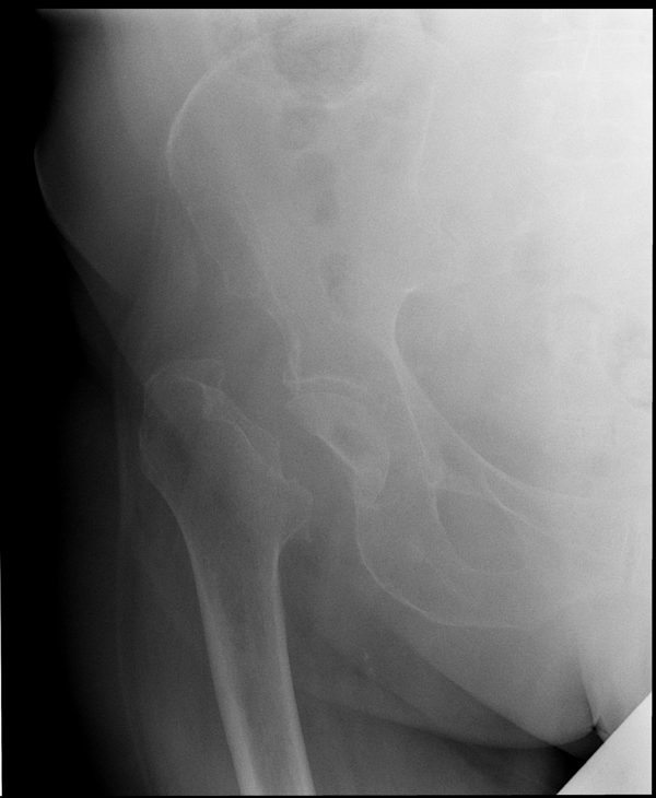
Перелом шейки бедренной кости.
Наиболее частым переломом, встречающимся у людей старше 65 лет, является перелом шейки бедренной кости, или попросту шейки бедра. Женщины страдают этой патологией несколько чаще мужчин. Перелом шейки бедра – инвалидизирующая травма, требующая своевременной диагностики и квалифицированной травматологической помощи. К переломам шейки бедра по сходству течения, заживления и прогнозам относят:
- субкапитаьный, трансцервикальный и базисцервикальный переломы бедренной кости, относящихся к группе медиальных переломов
- чрезвертельный и подвертельный переломы бедренной кости,относящися к группе латеральных переломов
Пожилые люди являются основной группой риска данной травмы. Давайте выясним симптомы и диагностика перелома шейки бедра:
- Первое – это боль в области тазобедренного сустава и паховой области на этой же стороне.
- Второе – это ротация стопы кнаружи. При этом попытка поставить стопу прямо невозможна, либо сопровождается сильной болью.
- Третье – это невозможность поднять выпрямленную ногу, так называемый «симптом прилипшей пятки», хотя сгибание в коленном суставе возможны в полном объёме.
- Четвертый - ОЧЕНЬ ХАРАКТЕРНЫЙ СИМПТОМ - укорочение конечности.
Решающее значение в установлении диагноза перелома шейки бедра имеет рентгенография тазобедренного сустава. У пожилых пациентов приведенные выше симптомы могут проявляться нечетко, а такие заболевания как инсульт или невропатия, вообще, не позволят поставить правильный диагноз без рентгена. Где сделать рентген? Перелом шейки бедра всегда сопровождается сильной болью, поэтому любые лишние движения оборачиваются новыми мучениями, а сопутствующие заболевания внутренних органов усугубляют ситуацию! Решение есть - воспользоваться уникальной услугой – цифровой рентген на дому. К вам приедет врач рентгенолог-травматолог, который выполнит весь комплекс лечебно-диагностических мероприятий и подробно расскажет, что делать дальше.
- обезболивание при переломе бедра
- иммобилизация при переломе шейки бедренной кости
- лечение перелома бедренной кости
Получение качественных рентгеновских снимков на дому предъявляет серьёзные требования к рентгеновской аппаратуре. Далеко не каждый переносной рентгенаппарат позволяет получать снимки необходимого качества, чтобы достоверно поставить диагноз. Используемый нами рентгенаппарат АРА 110/160 в комплексе с компьютерным радиографом позволяет получать цифровые рентгеновские снимки высокого качества у пациентов различной комплекции и является уникальной услугой в Санкт-Петербурге, предоставляемой на дому.
Не рискуйте своим здоровьем и здоровьем своих близких. Не теряйте драгоценное время, если у Вас есть сомнения. Позвоните к нам по телефону 921-40-15. Квалифицированные врачи медицинского центра «Ваше Здоровье» поставят Вам правильный диагноз и назначат необходимое лечение.







